Cavities can be hard to see, especially when they are first starting. That is why we use a variety of technologies to help find a cavity, no matter how small or hidden away it is, so your child’s smile can be free of decay.
When a tooth has a cavity or you need to replace a worn filling, a natural-looking white restoration can be a beautiful choice.
Advantages
White fillings have several advantages over silver fillings.
• They are bonded to your tooth and is stronger than a silver filling.
• We do not have to remove as much tooth structure as with a silver filling.
• The bonding agent can insulate your tooth from extremes of hot and cold.
• Some white restorations can be done in just one visit.
Procedure
After we remove the decay, we build layers of the resin directly onto your tooth. We use a special light to bond the resin to the tooth for strength.
A larger cavity may need an indirect restoration. We remove the decay or the old, worn restoration. The new restoration will be created in the lab to precisely fit your tooth.
Once crafted, we bond the restoration to your tooth for strength. It takes two or more visits to get this kind of restoration.
White fillings can be a great choice to give you healthy teeth and a beautiful, natural-looking smile.
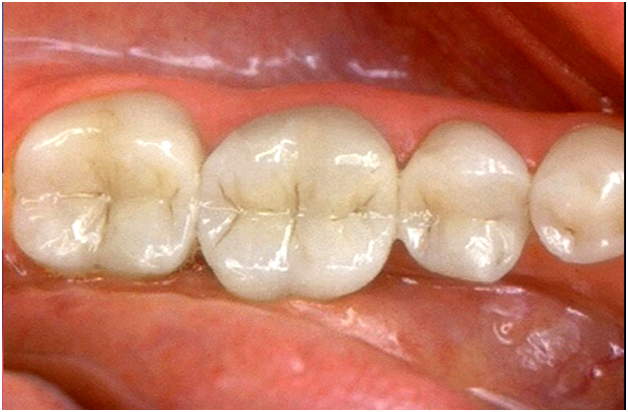
After white filling procedure
Drsimratdentistry welcomes you to join us for complete family dental care in a comfortable and relaxed environment to discover your healthiest smile and preventing a dental emergency. To schedule an appointment with this affordable Brampton dentist, call 905-456-7700.We have 3 locations in Brampton to serve you.
We also provide various services like Orthodontics, implants and cosmetic dentistry among others.
